(11) 97281-1985 - Agende pelo Whatsapp

Classificação de Gleason e ISUP: entendendo o laudo da sua biópsia de próstata (Guia 2026)

Introdução

Receber o laudo da biópsia de próstata e ver escrito"adenocarcinoma acinar usual, Gleason 3+4=7, ISUP 2, presente em 2 de 12 fragmentos, envolvendo 15% e 8%, com invasão perineural focal"costuma despertar mais perguntas do que respostas."O que é Gleason? E ISUP? Por que o número está repetido? Sou um caso grave?"

A boa notícia é que, uma vez compreendida a lógica, o laudo se torna um mapa preciso da agressividade do tumor — e é justamente nessa nota que se baseia o tratamento. Em 2026, a classificação combina dois sistemas complementares: a escala de Gleason (criada em 1966) e o sistema ISUP / Grade Group (oficializado em 2014, atualizado em 2019/2022). Este artigo, embasado nas diretrizes da International Society of Urological Pathology (ISUP), Organização Mundial da Saúde (OMS 2022), AUA 2023, EAU 2024 e Sociedade Brasileira de Urologia (SBU), explica linha por linha o que está no seu laudo — e o que cada elemento significa para sua vida.


A origem da escala de Gleason

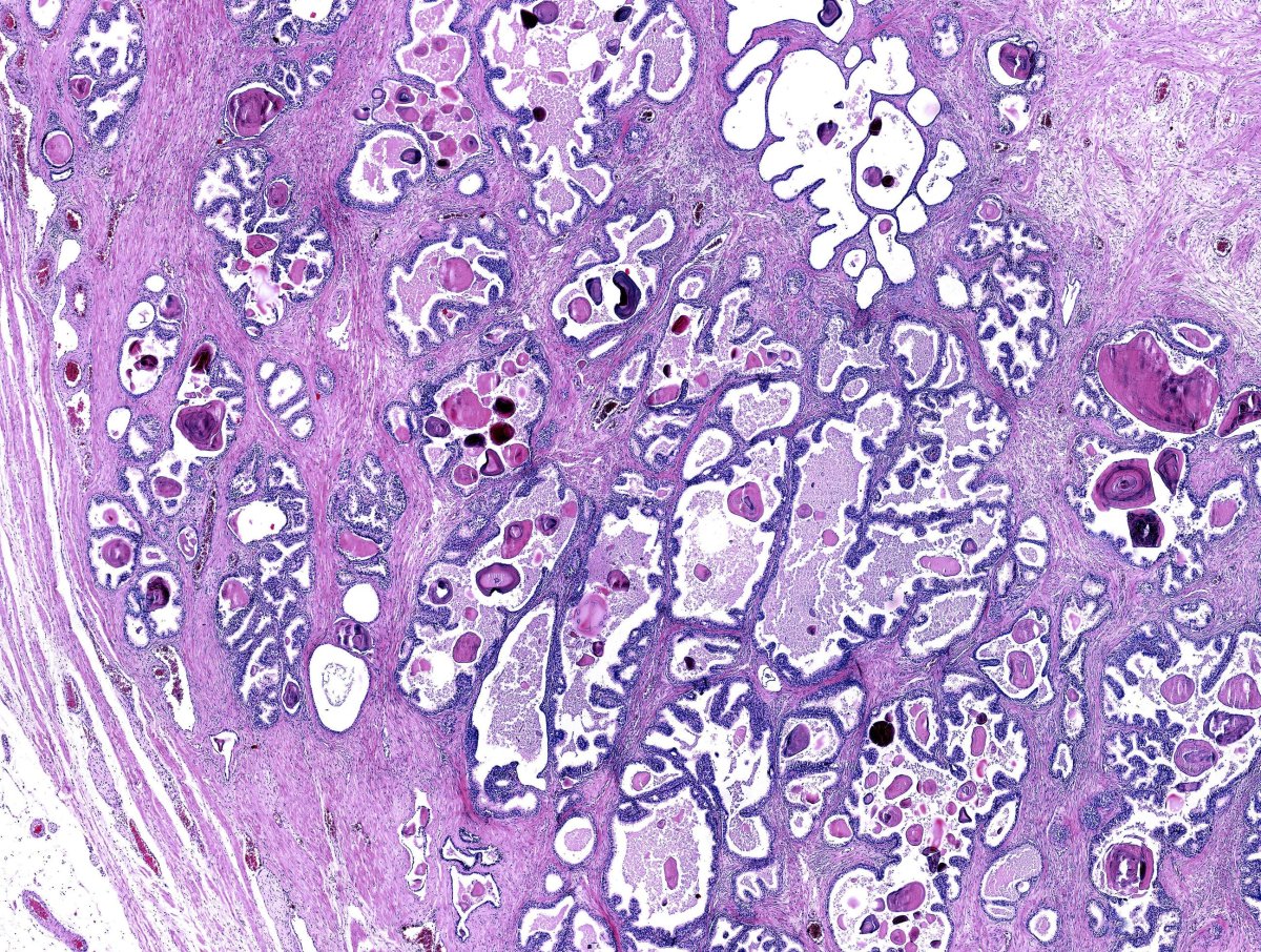
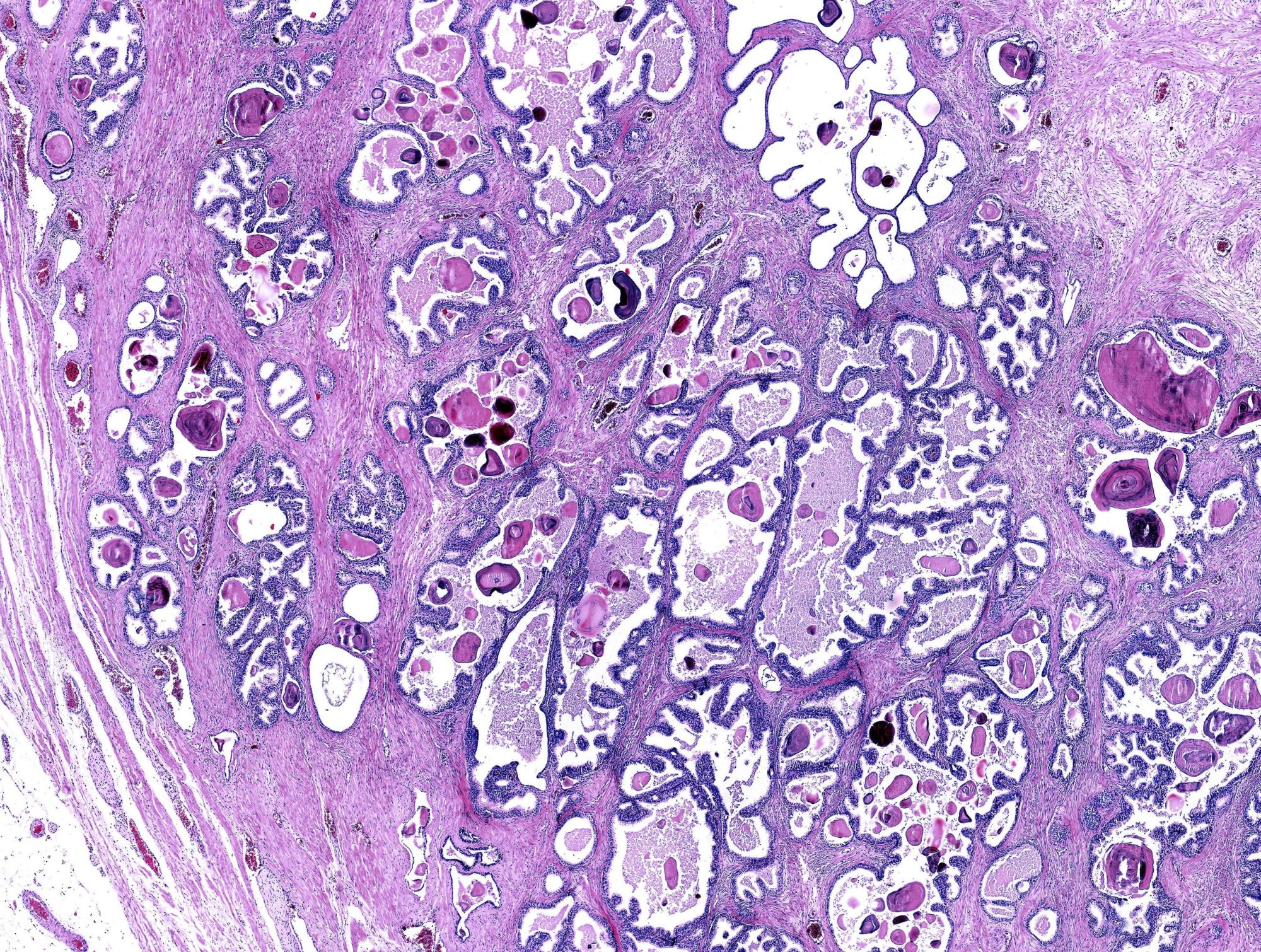
O patologista norte-americano Donald F. Gleason, da Universidade de Minnesota, propôs em 1966 uma classificação arquitetural do câncer de próstata: em vez de avaliar célula por célula, observar como as glândulas tumorais se organizam no microscópio. Quanto mais o padrão se afasta de uma glândula normal, mais agressivo o tumor. Essa ideia simples revolucionou a uropatologia.

A escala original ia de 1 a 5 para cada padrão, e a nota final era a soma dos dois padrões mais frequentes — gerando notas de 2 a 10. Com o tempo, padrões 1 e 2 deixaram de ser usados (correspondem hoje a tecido benigno ou lesões pré-cancerosas), e na prática a escala atual usa apenas padrões de 3 a 5.


Como o patologista atribui o "Gleason"

O patologista observa o material da biópsia ao microscópio e identifica:

  • Padrão primário (mais frequente) — recebe um número de 3 a 5
  • Padrão secundário (segundo mais frequente) — recebe um número de 3 a 5
  • Padrão terciário (eventualmente) — quando há um pequeno foco mais agressivo, geralmente padrão 5

A soma do primário + secundário é o Gleason Score, escrito como "3+4=7", "4+3=7", "4+4=8", etc.

Por que a ordem importa

3+4=7 e 4+3=7 não são iguais. O primeiro número é o padrão dominante, então:

  • 3+4=7 → predomina o padrão 3, com algum 4 → menos agressivo
  • 4+3=7 → predomina o padrão 4, com algum 3 → mais agressivo

Essa diferença, embora invisível para quem só lê "Gleason 7", é decisiva para o tratamento e o prognóstico.


A virada de 2014: o sistema ISUP / Grade Group

A escala original de Gleason gerou décadas de confusão entre médicos e pacientes."Gleason 6 é grave?"— a resposta correta era:"é o menor possível na prática moderna, mas o paciente lê 6 em uma escala que vai até 10 e fica aterrorizado."

Em 2014, em uma conferência da International Society of Urological Pathology (ISUP) liderada pelo patologista Jonathan Epstein (Johns Hopkins), foi proposto um novo sistema: 5 grupos hierárquicos (Grade Groups), de 1 a 5, que traduzem o Gleason em uma escala mais intuitiva. A OMS adotou oficialmente em 2016 e atualizou em 2022.

Hoje, todo laudo moderno traz tanto o Gleason quanto o ISUP.


A tabela de tradução: Gleason ↔ ISUP

Gleason Score ISUP Grade Group Interpretação clínica
6 (3+3) ISUP 1 Indolente — frequentemente vigilância ativa
7 (3+4) ISUP 2 Risco intermediário favorável
7 (4+3) ISUP 3 Risco intermediário desfavorável
8 (4+4, 3+5, 5+3) ISUP 4 Alto risco
9 ou 10 (4+5, 5+4, 5+5) ISUP 5 Muito alto risco

 

Essa é a chave de leitura mais importante de todo o laudo.


ISUP 1 (Gleason 6, 3+3): o "câncer que muitos defendem não chamar de câncer"

O ISUP 1 corresponde a glândulas tumorais bem diferenciadas, semelhantes a glândulas normais. Estudos populacionais mostram que isoladamente, ISUP 1 puro raramente metastatiza. Por essa razão:

  • A maioria dos pacientes com ISUP 1 é candidata à vigilância ativa
  • Discute-se na literatura renomear o ISUP 1 para algo como "neoplasia acinar de baixa atividade" — a proposta é controversa, mas reflete o consenso de que tratá-lo como um câncer agressivo gera sobretratamento
  • O risco de progressão para ISUP 2 ou superior ao longo dos anos é o principal motivo do seguimento ativo, e não a presença em si

A vigilância ativa em ISUP 1 envolve PSA seriado, toque retal, ressonância multiparamétrica e biópsias de seguimento. É segura em centros experientes.


ISUP 2 (Gleason 7, 3+4): risco intermediário favorável

Aqui o paciente entra em território de decisão compartilhada. Os padrões dominantes ainda são 3, mas há componente 4 minoritário.

  • Em ISUP 2 com baixa porcentagem de padrão 4 (< 10%), sem cribriforme, vigilância ativa é uma opção válida
  • Em ISUP 2 com mais padrão 4 ou achados associados desfavoráveis, costuma-se indicar tratamento ativo (cirurgia ou radioterapia)
  • A terapia focal (HIFU, crioterapia) é uma opção crescente em casos selecionados

A diferença entre ISUP 2 e ISUP 3 é uma das mais importantes — e é onde reside o maior risco de imprecisão entre patologistas. Por isso, revisão por uropatologista experiente é altamente recomendada.


ISUP 3 (Gleason 7, 4+3): risco intermediário desfavorável

Aqui o padrão dominante já é 4. Mesmo com soma "7", o comportamento clínico é mais próximo do alto risco que do baixo. Implicações:

  • Tratamento ativo é a regra — prostatectomia radical, radioterapia ou braquiterapia (com ou sem hormonioterapia adjuvante)
  • Vigilância ativa não é indicada
  • Avaliação de extensão extraprostática e linfonodos torna-se mais relevante (ressonância, PET-PSMA em casos selecionados)

ISUP 4 (Gleason 8): alto risco

Inclui Gleason 4+4, 3+5 e 5+3. Aqui a doença é claramente agressiva:

  • Tratamento multimodal frequentemente indicado: prostatectomia + linfadenectomia estendida, radioterapia + hormonioterapia de longa duração (24–36 meses), ou combinações
  • Avaliação completa de estadiamento: RM multiparamétrica, PET-PSMA (excelente sensibilidade para metástases ósseas e linfonodais), em alguns casos cintilografia óssea
  • Prognóstico ainda favorável quando localizado, com sobrevida em 10 anos > 70% em pacientes adequadamente tratados

ISUP 5 (Gleason 9 ou 10): muito alto risco

A apresentação mais agressiva do adenocarcinoma de próstata, com padrão 5 dominante ou ao lado do padrão 4 ou 5. O padrão 5 é caracterizado por células sem formação glandular ("foliculares pobres", em ninhos ou comédons).

  • Tratamento multimodal agressivo desde o início
  • Hormonioterapia + intensificação (apalutamida, enzalutamida, abiraterona, darolutamida) tornaram-se padrão em pacientes de muito alto risco
  • Quimioterapia (docetaxel) em cenários metastáticos ou de altíssimo risco
  • Estadiamento minucioso — alta probabilidade de doença extraprostática e/ou metastática

Padrões e variantes especiais que mudam o jogo

Padrão cribriforme

Glândulas com arquitetura "em peneira", dentro do padrão 4. Quando presente, mesmo em pequena quantidade, é fator de mau prognóstico independente — aumenta risco de recidiva, metástase e mortalidade. Em 2026, deve constar explicitamente no laudo quando identificado, conforme recomendação da ISUP/WHO 2022.

Carcinoma intraductal (IDC-P)

Lesão de altíssima agressividade, frequentemente associada a tumores de alto grau no parênquima adjacente. Sua presença geralmente exclui o paciente da vigilância ativa, mesmo em ISUP 1 ou 2 isolados.

Padrão glomeruloide

Variante incomum do padrão 4 — também associada a comportamento mais agressivo.

Variantes histológicas raras

  • Carcinoma ductal
  • Carcinoma neuroendócrino / pequenas células
  • Carcinoma sarcomatoide
  • Carcinoma em células em anel de sinete

São não graduáveis pelo Gleason tradicional e exigem manejo individualizado, frequentemente com quimioterapia precoce (no neuroendócrino) e abordagem multidisciplinar.

Padrão terciário 5

Em laudos da peça cirúrgica (prostatectomia), pode-se descrever um foco minoritário de padrão 5 ao lado do Gleason principal. Mesmo pequeno, é fator prognóstico negativo independente.


Os outros elementos do laudo — tão importantes quanto o Gleason

O Gleason/ISUP é o carro-chefe, mas o laudo moderno traz outros dados decisivos:

Número de fragmentos positivos

  • Quantos fragmentos da biópsia continham tumor (ex.: 4 de 12)
  • Mais fragmentos positivos geralmente indica maior volume tumoral

Porcentagem de envolvimento por fragmento

  • Quanto cada fragmento positivo é tomado pelo tumor (ex.: 60% e 40%)
  • Importante para definir volume tumoral e estratificar risco

Lateralidade

  • Direita, esquerda ou bilateral

Invasão perineural (IPN)

  • Tumor envolvendo nervos prostáticos
  • Não muda o ISUP, mas é fator de prognóstico mais reservado

Invasão extraprostática (em peças cirúrgicas)

  • Saída do tumor da cápsula da próstata
  • Eleva o estadiamento patológico para pT3a

Invasão de vesículas seminais

  • pT3b — fator de pior prognóstico

Margens cirúrgicas

  • Em peças de prostatectomia: positivas (tumor encosta na borda) ou negativas
  • Margens positivas elevam risco de recidiva bioquímica

Linfonodos (em linfadenectomia)

  • Número examinado e número positivo
  • Linfonodos positivos mudam o tratamento — frequentemente indicam radioterapia + hormonioterapia adjuvantes

Como o laudo se transforma em estratificação de risco

O ISUP é um dos três pilares da estratificação de risco do câncer de próstata localizado. Os outros dois são:

  • PSA
  • Estadiamento clínico (T) — toque retal e/ou imagem (mpMRI)

Classificação de DAmico (clássica)

  • Baixo risco: PSA < 10, ISUP 1, T1c–T2a
  • Intermediário: PSA 10–20, ISUP 2 ou 3, T2b
  • Alto risco: PSA > 20, ISUP 4 ou 5, T2c ou superior

Classificação NCCN (mais detalhada)

  • Risco muito baixo, baixo, favorável intermediário, desfavorável intermediário, alto, muito alto

EAU 2024

  • Adapta a NCCN com considerações sobre mpMRI, PSA-densidade e biomarcadores genômicos

Quando pedir uma "segunda opinião patológica"

A revisão do laudo por um uropatologista experiente é recomendada em:

  • ISUP 1 com indicação proposta de cirurgia — pode ser ISUP 1 verdadeiro (vigilância) vs ISUP 2 não reconhecido
  • ISUP 2 vs ISUP 3 — fronteira mais sujeita a divergência
  • Presença ou ausência de cribriforme/intraductal — pode mudar completamente o tratamento
  • Antes de decidir terapia focal

Estudos mostram discordância entre patologistas em 10–25% dos casos. Em 2026, revisão patológica externa é parte do padrão de qualidade.


Como o laudo orienta o tratamento — visão de conjunto

ISUP Conduta predominante (conforme PSA, T e mpMRI)
ISUP 1 Vigilância ativa (na grande maioria)
ISUP 2 Vigilância ativa selecionada ou tratamento ativo (cirurgia, radioterapia, terapia focal)
ISUP 3 Tratamento ativo
ISUP 4 Tratamento multimodal (cirurgia + adjuvância ou radio + hormonioterapia longa)
ISUP 5 Tratamento multimodal agressivo, frequentemente com intensificação hormonal

 

A decisão nunca é tomada apenas pelo ISUP — entram idade, expectativa de vida, comorbidades, achados de imagem e preferências do paciente.


Perguntas Frequentes 

O que é a classificação de Gleason no câncer de próstata? É um sistema arquitetural de avaliação da agressividade do tumor, que soma o padrão histológico mais frequente (primário) ao segundo mais frequente (secundário), gerando notas que vão de 6 a 10 na prática moderna.

O que é o ISUP da biópsia de próstata? É o "Grade Group" — sistema simplificado de 1 a 5 criado pela International Society of Urological Pathology em 2014, adotado pela OMS em 2016. ISUP 1 é o menos agressivo; ISUP 5 é o mais agressivo.

Gleason 6 (ISUP 1) é câncer agressivo? Não. Em geral é considerado indolente, com baixa probabilidade de metástase isolada. A maioria dos pacientes é candidata à vigilância ativa.

Qual a diferença entre Gleason 3+4 e 4+3? Ambos somam 7, mas o primeiro tem padrão 3 dominante (ISUP 2 — risco intermediário favorável) e o segundo tem padrão 4 dominante (ISUP 3 — risco intermediário desfavorável). O comportamento e o tratamento podem ser diferentes.

O que significa ISUP 4 ou 5? Tumores de alto e muito alto risco, respectivamente. Indicam tratamento multimodal precoce, com cirurgia + adjuvância ou radioterapia + hormonioterapia prolongada, frequentemente associada a intensificação hormonal.

O que é padrão cribriforme e por que ele é importante? É um subpadrão do Gleason 4 com glândulas "em peneira" e comportamento mais agressivo. Sua presença é fator prognóstico independente negativo e geralmente exclui o paciente de vigilância ativa.

O que é carcinoma intraductal da próstata (IDC-P)? É uma lesão de altíssimo risco que indica doença agressiva mesmo quando o Gleason adjacente é menor. Sua presença geralmente exclui vigilância ativa.

A invasão perineural muda o ISUP? Não. Mas é fator prognóstico associado e deve ser considerada na decisão terapêutica e no planejamento cirúrgico (preservação ou não dos feixes neurovasculares).

Posso pedir uma segunda opinião sobre o laudo da biópsia? Sim, e é altamente recomendado, especialmente entre ISUP 1, 2 e 3 ou diante de cribriforme/intraductal. Estudos mostram discordância entre patologistas em 10–25% dos casos.

Como o ISUP é usado para escolher o tratamento? Em conjunto com PSA, estadiamento clínico (T), idade, comorbidades e mpMRI, o ISUP determina a estratificação de risco (DAmico/NCCN/EAU) — base para escolher entre vigilância ativa, cirurgia, radioterapia, terapia focal ou tratamento sistêmico.


Conclusão

O laudo da biópsia de próstata é, em essência, um mapa biológico do tumor — e a classificação de Gleason / ISUP é a sua bússola. ISUP 1 e 5 são extremos com condutas opostas; ISUP 2, 3 e 4 são o território onde a leitura cuidadosa do laudo, a presença de subpadrões agressivos e a consideração das demais variáveis (PSA, T, mpMRI) decidem entre vigilância, cirurgia, radioterapia ou tratamento multimodal. Compreender o que está escrito não substitui o urologista — mas transforma o paciente em protagonista da decisão, e isso, em uro-oncologia, melhora o prognóstico tanto quanto qualquer cirurgia.


 

Recebeu o laudo da biópsia de próstata? Não tome decisões sem orientação especializada

Se você recebeu o resultado de uma biópsia de próstata, está em dúvida sobre o significado do Gleason ou ISUP, sobre vigilância ativa, cirurgia, radioterapia ou terapia focal, ou deseja uma segunda opinião qualificada antes de iniciar tratamento, uma avaliação especializada pode mudar o seu plano terapêutico.

Reviso pessoalmente seu laudo anatomopatológico, oriento revisão por uropatologista experiente quando indicado, integro com PSA, ressonância multiparamétrica e estadiamento por PET-PSMA, e construo com você o melhor plano — da vigilância ativa ao tratamento multimodal — segundo as diretrizes AUA, EAU e SBU.

👉 [AGENDAR CONSULTA AGORA]

📱 [FALAR NO WHATSAPP] 


Sobre o autor — Dr. Alexandre Sato

Dr. Alexandre Sato é urologista com dedicação ao diagnóstico e tratamento cirúrgico do câncer de próstata, do câncer de bexiga e da hiperplasia prostática benigna. Realiza rotineiramente biópsias de próstata por fusão MRI/US (transretal e transperineal), prostatectomia radical, HoLEP, RTU de bexiga (RTUB/TURBT), cistectomia radical com derivações urinárias e cirurgias urológicas minimamente invasivas.

Titulado pela Sociedade Brasileira de Urologia (SBU), conduz sua prática pelas diretrizes da AUA (American Urological Association), EAU (European Association of Urology) e pelas atualizações da ISUP/WHO 2022 em uropatologia. Trabalha em integração com uropatologistas experientes e radiologistas especialistas em mpMRI para garantir a maior precisão diagnóstica possível.

Acredita que entender bem o laudo é o primeiro tratamento eficaz — e dedica tempo, em todas as primeiras consultas pós-biópsia, a explicar Gleason, ISUP, padrão cribriforme, intraductal e estratificação de risco em linguagem que o paciente compreenda e leve para a decisão.


Comentários0

Ninguém escreveu ainda. Comente primeiro!

Envie suas Dúvidas e Comentários

Preencha este campo.
Obs: Não divulgaremos seu e-mail.
Preencha este campo.
Preencha este campo.
melhor urologista de sao paulo sp brasil

Dr. Alexandre Sato

Médico Urologista em São Paulo - SP

A Begin Clinic é uma clínica especializada em tratamentos de reprodução assistida na cidade de São Paulo - SP. Também atendemos pacientes de outras cidades e estados em todo Brasil e exterior, que buscam por tratamentos de excelência, com médicos especialistas em congelamento de óvulos.


Saiba mais sobre Dr. Alexandre Sato.

CRM-SP: 146.210 - RQE: 61330
Curriculum Lattes: http://lattes.cnpq.br/6551764447584301

Agende sua Consulta