(11) 97281-1985 - Agende pelo Whatsapp

Atualizações em Câncer de Próstata: Os Grandes Destaques do ASCO GU 2026

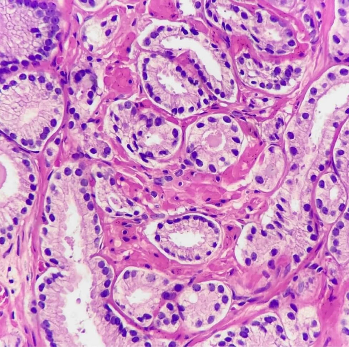
A oncologia não para de evoluir. No congresso ASCO GU 2026, as grandes promessas para o tratamento do câncer de próstata deixaram de ser apenas teorias e tornaram-se realidade clínica. A Inteligência Artificial agora ajuda a prever a resposta ao PET-PSMA, enquanto a biópsia líquida rastreia a resistência dos tumores em tempo real. Além disso, novos dados do estudo PEACE-2 redefinem o tratamento da doença localizada de alto risco. Neste artigo, resumo os principais destaques científicos que já estão mudando a forma como cuidamos dos nossos pacientes.
Leia Mais

NanoKnife vs. Cirurgia Robótica da Próstata: Qual Escolher?

Estamos na era da tecnologia na urologia. De um lado, a Cirurgia Robótica, o padrão-ouro para remoção da próstata com precisão milimétrica. Do outro, o NanoKnife, a revolução da terapia focal que destrói o câncer sem remover o órgão. Mas qual é o melhor para VOCÊ? Neste artigo, fazemos um duelo técnico entre as duas modalidades, analisando cura, sequelas e tempo de recuperação
Leia Mais

NanoKnife vs. Radioterapia: Qual Preserva Mais Qualidade de Vida?

Na hora de tratar o câncer de próstata, a Radioterapia é uma opção clássica e eficaz, mas carrega o risco de efeitos colaterais tardios (que aparecem anos depois). Já o NanoKnife surge como uma alternativa focal, prometendo menos danos aos tecidos vizinhos. Mas qual vence no quesito Qualidade de Vida? Neste artigo, colocamos as duas tecnologias lado a lado para comparar impacto na ereção, continência e saúde intestinal.
Leia Mais

Eletroporação Irreversível (IRE): É Tratamento Curativo para Câncer de Próstata?

Quando surge uma nova tecnologia na medicina, a dúvida mais importante é sempre a mesma: Isso realmente cura ou apenas controla?. Com a Eletroporação Irreversível (IRE/NanoKnife) não é diferente. Neste artigo, mergulhamos nos dados científicos para explicar se essa técnica, que destrói o tumor com pulsos elétricos, oferece segurança oncológica comparável à cirurgia e o que significa cura na era da Terapia Focal.
Leia Mais

NanoKnife Pode Ser Usado Após Falha da Radioterapia ou Cirurgia? Entenda o Tratamento de Resgate

Receber a notícia de que o câncer de próstata voltou após a Radioterapia ou Cirurgia é devastador. As opções tradicionais de tratamento para essa recidiva costumam ser agressivas e com altos riscos de incontinência. Mas há uma nova esperança: o NanoKnife de Resgate (Salvage). Neste artigo, explico como essa tecnologia consegue atuar em tecidos já tratados, oferecendo uma segunda chance de cura com segurança.
Leia Mais

NanoKnife é Indicado Para Câncer de Próstata de Baixo, Intermediário ou Alto Risco?

O NanoKnife é uma tecnologia revolucionária, mas não é uma varinha mágica para todos os tipos de câncer. A chave para o sucesso está na seleção do paciente. Será que ele serve para quem tem Gleason 6? E para o Gleason 9 agressivo? Neste artigo, eu divido as indicações por Grupos de Risco e mostro onde o NanoKnife brilha (o Sweet Spot) e onde devemos ter cautela. Descubra se você é o candidato ideal.
Leia Mais

Tratamento Focal do Câncer de Próstata: Onde o NanoKnife se Encaixa?

Durante décadas, o tratamento do câncer de próstata foi binário: ou você apenas observava (Vigilância Ativa) ou removia tudo (Cirurgia Radical). Mas e o caminho do meio? A Terapia Focal surgiu para tratar apenas o tumor, preservando o órgão. Dentro desse cenário, onde o NanoKnife se encaixa? Neste artigo, comparamos o NanoKnife com outras tecnologias (HIFU, Crioterapia) e mostramos por que sua abordagem não térmica é um divisor de águas para tumores difíceis
Leia Mais

NanoKnife Precisa de Internação? Anestesia? Sonda? O Guia Prático da Recuperação

Muitos pacientes se interessam pelo NanoKnife por ser minimamente invasivo, mas as dúvidas práticas persistem: Vou precisar de anestesia geral?, Vou acordar com sonda?, Quantos dias fico no hospital?. Neste artigo, detalhamos o passo a passo da internação. Descubra por que, apesar de exigir anestesia geral e sonda (por pouco tempo), a recuperação é incomparavelmente mais rápida que a cirurgia tradicional.
Leia Mais

Vale a Pena Fazer NanoKnife? O Que Você Precisa Saber Antes de Decidir

Diante do diagnóstico de câncer de próstata, o NanoKnife surge como a tecnologia que promete tratar o tumor preservando a ereção e a continência. Mas será que o investimento compensa? É seguro a longo prazo? Neste artigo, colocamos na balança os prós e contras da Eletroporação Irreversível, comparando-a com a cirurgia tradicional, para que você tome uma decisão informada e sem arrependimentos.
Leia Mais

Total de 66 posts.