(11) 97281-1985 - Agende pelo Whatsapp

Recebi o Laudo da Biópsia de Próstata: Como Interpretar o Gleason, ISUP e Outros Termos?

Abrir o envelope ou o PDF com o resultado de uma biópsia de próstata é um momento tenso. E, muitas vezes, a ansiedade aumenta ao tentar decifrar o "mediquês" escrito pelo patologista: números somados (3+4, 4+3), siglas (ISUP, ASAP) e porcentagens.

A primeira regra é: não entre em pânico. O laudo é um mapa. Ele não define o seu destino final, mas nos diz exatamente onde estamos e quais caminhos podemos seguir. Como urologista, meu papel é traduzir esse mapa para você.

Vamos entender os principais pontos de um laudo positivo para câncer (Adenocarcinoma).

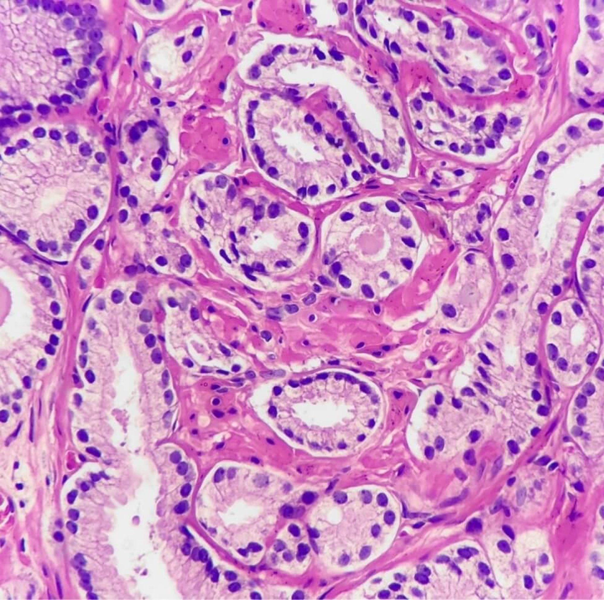
1. O Nome do Inimigo: Adenocarcinoma Acinar Usual


Esta é a linha que confirma o diagnóstico. O "Adenocarcinoma Acinar" é o tipo mais comum de câncer de próstata (mais de 95% dos casos). Se você leu isso, o diagnóstico de câncer existe, e agora precisamos entender a sua "personalidade" (agressividade).

2. A Agressividade: Gleason e ISUP


Este é o coração do laudo. É aqui que definimos se o câncer é "preguiçoso" (indolente) ou agressivo.

  • O Escore de Gleason
    O patologista olha as células no microscópio e dá uma nota de 3 a 5 baseada na deformidade delas. Como o câncer é heterogêneo, ele soma os dois padrões mais comuns encontrados.

Exemplo: Gleason 6 (3+3). Significa que as células são pouco agressivas.

Exemplo: Gleason 7 (3+4) ou (4+3). Aqui mora um detalhe que gera autoridade médica: 3+4 é diferente de 4+3. O primeiro número é o padrão predominante. Ter mais padrão 3 é melhor do que ter mais padrão 4.

  • A Classificação ISUP (A Maneira Moderna)
    Para facilitar, a Sociedade Internacional de Urologia Patológica (ISUP) criou grupos de 1 a 5. É mais simples de entender:
    • ISUP 1: Gleason 6 (Baixo risco)
    • ISUP 2: Gleason 7 (3+4) (Risco intermediário favorável)
    • ISUP 3: Gleason 7 (4+3) (Risco intermediário desfavorável)
    • ISUP 4: Gleason 8 (Alto risco)
    • ISUP 5: Gleason 9 ou 10 (Muito alto risco)

3. Quantidade de Doença (Fragmentos e Porcentagem)


Não basta saber o tipo, precisamos saber o volume.

  • Número de Fragmentos: Geralmente tiramos 12 fragmentos. Ter câncer em 1 fragmento é muito diferente de ter em 12.
  • Porcentagem de Comprometimento: Quanto de cada fragmento é tumor? 5%? 80%? Quanto maior a porcentagem e o número de fragmentos, maior o volume tumoral, o que pode influenciar na decisão entre cirurgia, radioterapia ou vigilância ativa.

4. Invasão Perineural e "Margens"


Muitos pacientes se assustam com o termo "Invasão Perineural". Isso significa que o tumor está envolvendo a bainha nervosa. Embora pareça assustador, isso não muda o estádio da doença, mas pode indicar um risco levemente maior de o tumor gerar metástase à distância.

Sobre as Margens: É comum pacientes procurarem por "margens comprometidas" na biópsia. Importante esclarecer: margens cirúrgicas só são avaliadas após a cirurgia de remoção da próstata. Na biópsia, olhamos se o tumor está apenas dentro do fragmento.

5. E se não for câncer? (ASAP e HGPIN)


Às vezes o laudo traz siglas como HGPIN (Neoplasia Intraepitelial Prostática de Alto Grau) ou ASAP (Pequena Proliferação Acinar Atípica).

  • HGPIN: É uma alteração pré-maligna, mas isoladamente não exige tratamento imediato.( Se for PIN de Alto Grau e Multicêntrico avaliar re biópsia em 6 meses. )
  • ASAP: É uma suspeita forte que a biópsia não conseguiu confirmar. Nesses casos, geralmente indicamos fazer a imunohistoquímica para confirmar ou descartar a malignidade.

Conclusão: O Laudo é Apenas Uma Peça


O laudo da biópsia não deve ser interpretado isoladamente. Ele precisa ser cruzado com seu PSA, seu toque retal e sua ressonância magnética. Um Gleason 6 em um paciente jovem pode ser tratado de forma diferente do mesmo Gleason em um paciente de 80 anos.

A medicina moderna é personalizada. O laudo nos dá os dados, mas a decisão é tomada entre médico e paciente.

Sobre o Autor
Dr. Alexandre Sato | Urologista | Especialista em Uro-Oncologia e Cirurgia Robótica CRM: 146.210 | RQE: 61.330

Minha missão é oferecer clareza em momentos de incerteza. Com vasta experiência no tratamento do câncer de próstata, utilizo as técnicas mais avançadas — da cirurgia robótica às terapias focais — para garantir a cura com a máxima preservação da qualidade de vida.

Recebeu seu laudo e quer uma análise detalhada sobre o melhor caminho a seguir? Agende uma consulta. Vamos discutir suas opções com calma e precisão técnica.

ou https://wa.link/9o4y35


Comentários0

Ninguém escreveu ainda. Comente primeiro!

Envie suas Dúvidas e Comentários

Preencha este campo.
Obs: Não divulgaremos seu e-mail.
Preencha este campo.
Preencha este campo.
melhor urologista de sao paulo sp brasil

Dr. Alexandre Sato

Médico Urologista em São Paulo - SP

A Begin Clinic é uma clínica especializada em tratamentos de reprodução assistida na cidade de São Paulo - SP. Também atendemos pacientes de outras cidades e estados em todo Brasil e exterior, que buscam por tratamentos de excelência, com médicos especialistas em congelamento de óvulos.


Saiba mais sobre Dr. Alexandre Sato.

CRM-SP: 146.210 - RQE: 61330
Curriculum Lattes: http://lattes.cnpq.br/6551764447584301

Agende sua Consulta