(11) 97281-1985 - Agende pelo Whatsapp

Raio-X, Ultrassom ou Tomografia: Qual o "Padrão Ouro" para descobrir Pedra nos Rins?

Quando um paciente chega ao consultório ou ao pronto-socorro com suspeita de cólica renal, a primeira pergunta que precisamos responder é: onde está a pedra, qual o tamanho dela e quão dura ela é?

A resposta para essas perguntas define se você vai precisar de cirurgia, qual técnica usaremos ou se a pedra pode ser expelida naturalmente. Porém, a qualidade dessa resposta depende inteiramente do exame de imagem escolhido.

Muitos pacientes trazem um ultrassom dizendo que têm uma pedra de 5mm, mas na verdade ela tem 8mm. Ou trazem um Raio-X "normal", mas continuam com dor. Por que isso acontece? Vamos analisar os três principais exames.

1. O Raio-X Simples de Abdome


É o exame mais antigo e barato, mas também o mais limitado.

  • O Problema: Nem todas as pedras aparecem no Raio-X. Cálculos de ácido úrico, por exemplo, são "radiotransparentes" (invisíveis ao raio-x). Além disso, gases no intestino ou fezes podem cobrir a visão do rim.
  • Quando é útil: Serve basicamente para acompanhamento de pedras que já sabemos que são visíveis (radiopacas) ou para controle pós-cirúrgico simplificado. Não serve para um diagnóstico inicial preciso.

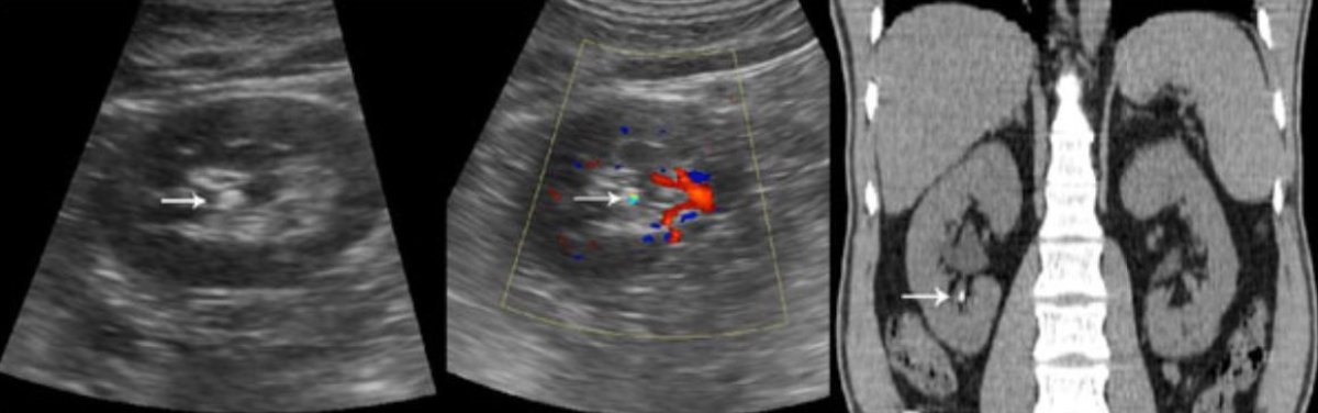
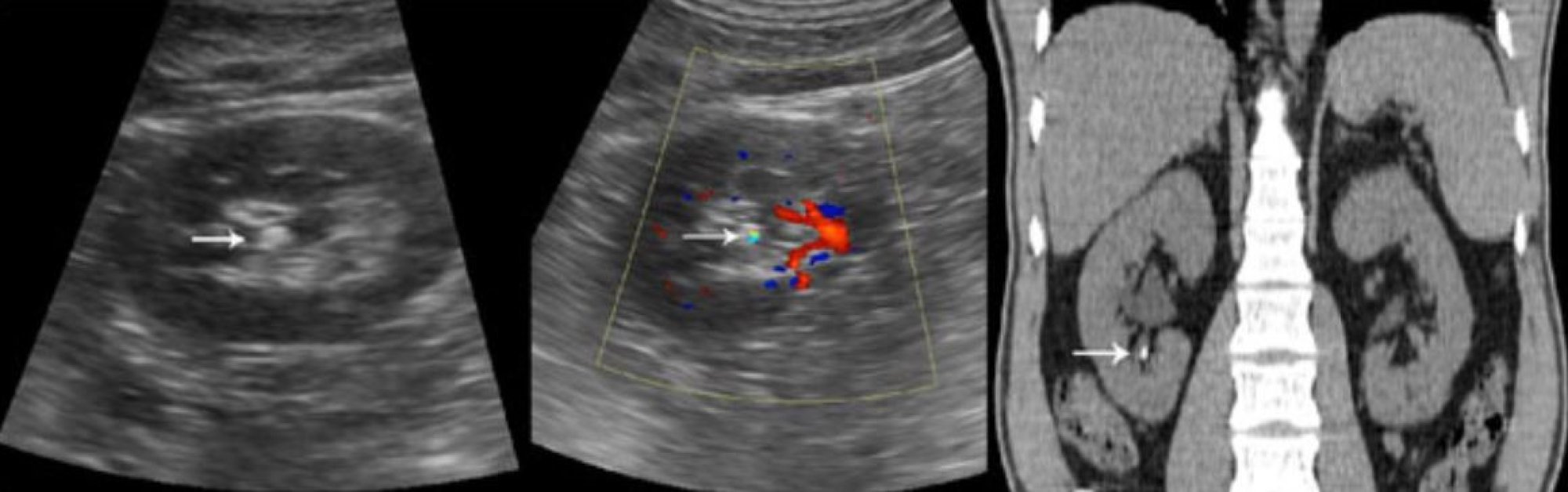
2. A Ultrassonografia (USG)


O ultrassom é excelente por não usar radiação, sendo o exame de escolha para gestantes e crianças.

  • O Problema: O ultrassom é ótimo para ver o rim e a bexiga, mas ele tem um "ponto cego" enorme: o ureter (o canal que liga o rim à bexiga). Se a pedra estiver descendo pelo meio do caminho, o ultrassom muitas vezes não consegue vê-la. Além disso, a medida do tamanho da pedra no USG é menos precisa e pode variar dependendo do médico que realiza o exame.
  • Quando é útil: Para triagem inicial e para ver se o rim está inchado (hidronefrose), o que indica que algo está entupindo o canal.

3. A Tomografia Computadorizada (TC) sem Contraste


Aqui temos o Padrão Ouro. Na urologia moderna, a Tomografia é o exame rei.

  • A Vantagem: Ela vê tudo. A tomografia reconstrói o seu trato urinário em 3D. Ela nos diz com precisão milimétrica:
      • O tamanho exato (sem distorções).
      • A localização precisa.
      • A densidade (dureza) da pedra (medida em Unidades Hounsfield).
  • Por que isso importa? Saber a dureza da pedra define se vamos usar laser, litotripsia externa (quebra por ondas de choque) ou se a pedra é dura demais para certos tratamentos.

 

Conclusão


Embora o ultrassom seja um bom ponto de partida para check-ups, se você tem dor ou vai planejar uma cirurgia, a Tomografia Computadorizada é indispensável. Ela é o mapa que o seu cirurgião precisa para navegar com segurança e resolver o seu problema definitivamente.

Não confie apenas em exames que deixam dúvidas. O diagnóstico preciso é o primeiro passo para o alívio.

 

Você tem exames antigos que deixam dúvidas ou continua sentindo desconforto mesmo com resultados "normais"? Talvez você precise de um olhar mais apurado sobre o seu caso. Não arrisque sua saúde renal com diagnósticos incompletos. Agende uma consulta comigo para analisarmos seus exames e definirmos a melhor conduta.

 

Sobre o Especialista

Dr. Alexandre Sato Urologista | Referência em Tratamento de Cálculos Renais | CRM 146.210

Especialista em endourologia e cirurgias minimamente invasivas, o Dr. Alexandre defende a medicina de precisão. Sua conduta é baseada na investigação detalhada através dos melhores métodos diagnósticos, garantindo que cada paciente receba o tratamento exato para a sua anatomia e tipo de cálculo. Com foco em segurança e resolução, ajuda pacientes a recuperarem a qualidade de vida longe das dores renais.


Comentários0

Ninguém escreveu ainda. Comente primeiro!

Envie suas Dúvidas e Comentários

Preencha este campo.
Obs: Não divulgaremos seu e-mail.
Preencha este campo.
Preencha este campo.
melhor urologista de sao paulo sp brasil

Dr. Alexandre Sato

Médico Urologista em São Paulo - SP

A Begin Clinic é uma clínica especializada em tratamentos de reprodução assistida na cidade de São Paulo - SP. Também atendemos pacientes de outras cidades e estados em todo Brasil e exterior, que buscam por tratamentos de excelência, com médicos especialistas em congelamento de óvulos.


Saiba mais sobre Dr. Alexandre Sato.

CRM-SP: 146.210 - RQE: 61330
Curriculum Lattes: http://lattes.cnpq.br/6551764447584301

Agende sua Consulta